Case reports
Issue 3 - 2025
Infantile Aggressive Systemic Mastocytosis Complicated by Liver Fibrosis Treated With Oral Midostaurin
Abstract
Introduction. Mastocytosis is a rare clonal disorder characterized by extreme proliferation of mast cells in cutaneous and other organs. It has an estimated prevalence of 1/10,000 people. In children, the most common form is cutaneous mastocytosis. Systemic mastocytosis accounts for less than 10% of pediatric mastocytosis cases. In most cases, mutations in the receptor tyrosine kinase KIT lead to uncontrolled proliferation of mast cells. Management of pediatric mastocytosis is based on trigger avoidance and histamine receptor blockade to control symptoms associated with mast cell mediator release. Because involvement of bone marrow and extracutaneous organs is rarely seen, there are few pediatric treatments, with no FDA-approved cytoreductive therapies for aggressive systemic mastocytosis in infants. Midostaurin, a multi-kinase inhibitor, is approved for treatment in adults.
Case Presentation. We describe the case of a 3-month-old male who presented with diffuse brown pruritic patches, hepatosplenomegaly, and tryptase markedly elevated at 187 ng/mL. Bone marrow biopsy confirmed the diagnosis of systemic mastocytosis with multifocal infiltrates. Skin biopsy revealed mast cell infiltration of the superficial dermis and diffuse aberrant CD30 expression. Serum KITD816V mutation was positive. The patient was started on a regimen of H1 and H2 blockade and cromolyn. Three months later, he presented with fever, progressive hepatosplenomegaly and increased tryptase, indicating he had aggressive form of mastocytosis. FDA emergency expanded use of midostaurin was applied for and approved with an initial starting dose of 30 mg/m2 every 12 hours.
Results. The patient’s tryptase levels declined from 234 ng/mL to 192 ng/mL within 5 days of initiating therapy. Two weeks later, he had improvements in appearance of cutaneous disease and a reduction in hepatosplenomegaly. The patient continued to improve over the next several months. Midostaurin was adjusted based on symptom control to his current dose of 60 mg/m2 every 12 hours. Monitoring of tryptase and liver function continued in 3-month intervals. Remarkably, his tryptase continued to decline to a nadir of 68 ng/mL. Liver function and hepatic fibrosis have remained stable and the patient continues to thrive at 3 years following initiation of midostaurin.
Conclusion. Our case highlights the lack of available cytoreductive treatments for aggressive pediatric systemic mastocytosis. With initiation of oral midostaurin, the patient’s disease trajectory and daily quality of life have dramatically transformed. He continues to perform well without any apparent systemic effects, and with regular interval monitoring for adverse effects of bone marrow suppression, pulmonary toxicity, and QTc prolongation. Follow-up will involve maintaining the current dosage of midostaurin with close outpatient monitoring until tryptase levels for age normalize and/or if presentation of a new adverse response occurs.
INTRODUCTION
Systemic mastocytosis (SM) encompasses a group of rare clonal disorders involving growth and proliferation of phenotypically abnormal mast cells in variable organ systems, often with the presence of cutaneous lesions known as mastocytomas 1. The main driver of SM is a germline or acquired activating mutation in the gene KIT, leading to increased mast cell differentiation and survival. Aggressive systemic mastocytosis (ASM) is one of five identified sub-categories of SM identified in the 2017 updated WHO guidelines, whereby one or more “C” findings must be present, including anemia, neutropenia, thrombocytopenia, splenomegaly, hepatopathy with ascites or portal hypertension, osteolysis or malabsorption 2,3. We report herein a case of infantile ASM complicated by compensated hepatic cirrhosis (liver fibrosis) and treated successfully with oral midostaurin.
CASE PRESENTATION
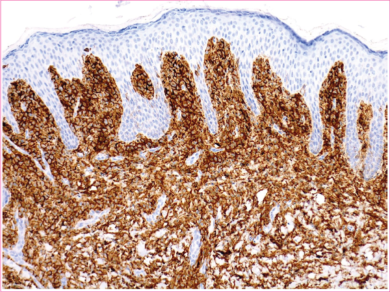
A full-term Hispanic male with an uncomplicated prenatal course was found at birth to have scattered reddish-brown plaques over most of his body surface as well as hepatosplenomegaly without obvious impairment of organ function. Initial laboratory evaluation revealed a tryptase of 187 ng/mL and a positive cKIT D816V mutation. Bone marrow and skin biopsies performed at age 11 weeks showed partial and diffuse aberrant expression of CD30 respectively, diagnostic for SM. Skin biopsy also showed diffuse CD117 staining (Fig. 1). The patient was diagnosed with indolent disease due to a lack of “C” findings and started on a regimen of H1 and H2 oral antihistamines as well as cromolyn sodium. Initially, he responded well to treatment with reduced discoloration and size of his mastocytomas. However, his hepatosplenomegaly continued to progress. Four months later he developed progressive hypersplenism, new onset anemia (hemoglobin 9.5 gm/dL), thrombocytopenia (133,000 cells/microliter) and had a rising serum tryptase of 234 ng/mL. Hepatic ultrasound with elastography showed increasing hepatomegaly (liver span at the midclavicular line was noted to be 10 cm, an increase from 9 cm measured three weeks prior) and portal velocities suggestive of advanced fibrosis. A diagnosis of aggressive systemic mastocytosis was made, based on these findings, when the patient was 7 months old.
With concern for multiorgan involvement and the patient’s worsening clinical status, he was admitted inpatient to start targeted therapy with oral midostaurin (a multikinase KIT inhibitor) at a dose of 12.5 mg (30 mg/m2) twice daily as previously reported in the case of a 7-week-old infant treated successfully with this drug for the same disease4. The drug was obtained via a compassionate use authorization granted by the FDA, and with institutional IRB approval. The patient remained admitted for a period of 2 weeks to observe his response and monitor closely for adverse effects while starting a novel treatment for ASM.
RESULTS
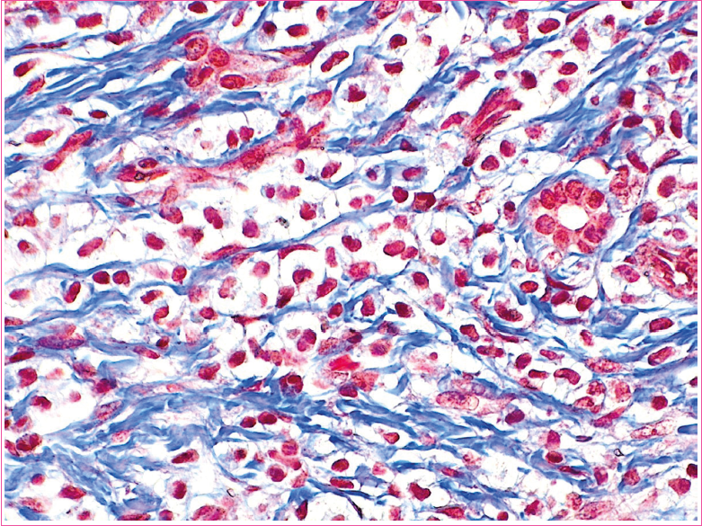
The patient’s tryptase level declined from 234 ng/mL to 192 ng/mL within 2 weeks after starting midostaurin. He was noted by family to have increased appetite and had a weight gain of 0.5 kg. His mastocytomas were becoming less prominent. He had experienced no adverse effects to midostaurin other than two occasions of emesis, one of which may have been unrelated. Two months after initiation of midostaurin, the patient underwent a core liver biopsy to better characterize the extent of hepatopathy. Findings of multifocal dense infiltrates of CD117 positive mast cells were identified in the portal areas and lobules including the sinusoids. Stage 4 bridging fibrosis was noted and findings concerning for early cirrhosis (Fig. 2). Liver enzymes and INR remained normal. Serum tryptase also slowly started rising from 129 ng/mL at 4 weeks after initiation of therapy to 176 ng/mL at 6 weeks. Midostaurin was increased to 18.75 mg (45 mg/m 2) twice daily based on these lab parameters, in order to reduce mast cell burden. The higher dose was well tolerated and serum tryptase started to decline more rapidly. The patient experienced resolution of cytopenias and significant cutaneous improvement. Unfortunately, the patient subsequently became ill and was hospitalized with E. coli colitis during which time midostaurin was held for 10 days. He was restarted on a higher dose of midostaurin, his current dose of 25 mg (60 mg/m2), after recovering from the episode of colitis. The decision to further increase his dose was based on his clinical response and tolerance of drug, with the goal to maximally lower tryptase and achieve disease quiescence. He had a return in appetite and weight gain was on a steady trajectory. His serum tryptase level declined over the next several months to a nadir of 68 ng/mL (Fig. 3). All “C” findings resolved other than the presence of stable fibrosis noted on repeat ultrasound with elastography, with a right lobe velocity of 1.54 m/s correlating to METAVIR stage F3 fibrosis. The patient has continued on midostaurin 25 mg twice daily for nearly 3 years with ongoing monitoring for recurrence of end organ damage. Liver cirrhosis is evaluated every 6 months with hepatic ultrasound and elastography and has remained stable. The patient will continue midostaurin for the foreseeable future until he reaches an end-point tryptase < 11.4 ng/mL, or experiences adverse effects which require re-evaluation of the current regimen.
DISCUSSION AND CONCLUSIONS
Pediatric mastocytosis is most often seen as a disease limited to the cutaneous organ system. There are few reports of SM, and even more rarely ASM, in infants. End-organ demise is the trademark feature of ASM and can present in the form of cytopenias, hypersplenism, osteolysis, gut malabsorption and hepatic dysfunction with fibrosis as seen in our patient.
We present a rare case of infantile ASM that responded positively to cytoreductive therapy with midostaurin. Midostaurin is a multikinase inhibitor which binds to KIT, thus blocking signal transduction and inducing mast cell apoptosis; this is a first line therapeutic agent for adults with ASM 5,6. In the pediatric realm, there are only two clearly identified case reports of midostaurin used in SM. Liu et al. described the case of a full-term female infant with KIT mutation positive indolent SM complicated by hemorrhagic bullae, necrotic lymphadenopathy and anemia (the patient notably did not have any organomegaly and had less than 30% mast cell burden in bone marrow), who responded clinically to midostaurin at a maintenance dose of 60 mg/m2 leading to total resolution of bullae, improved cytopenias and normalization of serum tryptase 7. Voelker et al. reported on another female infant diagnosed on DOL 1 with ASM based positive KIT mutation, diffuse characteristic mastocytomas, marked hepatosplenomegaly, elevated liver enzymes and thrombocytopenia 4. After failing hydroxyurea (marked by progressive hepatosplenomegaly and rising tryptase), midostaurin 12.5 mg twice daily was started at age 7.5 weeks with improvement in cutaneous symptoms, thrombocytopenia, liver function and normalization of tryptase 4. Liver imaging showed stable fibrosis, growth and development were normal for age and the patient showed no toxicity art 4 years after starting midostaurin, remaining well controlled on 25 mg twice daily 4.
A unique finding in our patient is that he had very rapidly progressing hepatic fibrosis, and despite treatment with midostaurin his liver disease has been stable thus far. Because there are no reports of infants with SM and advanced liver disease, it is difficult to determine the prognosis of our patient. However, we know in the adult population that treatment with midostaurin has led to improvement of a broad range of “C” findings including improvement in liver function 8,9. Interestingly, our patient’s INR and liver enzymes have remained normal.
One important limitation to consider in the monitoring of midostaurin, is the use of tryptase as a surrogate marker for disease progression and response to therapy. While tryptase is a direct marker for mast cell burden, this does not correlate directly with mastocytosis disease activity when evaluated alone. Therefore, it should be noted that tryptase is a valuable biomarker for detection of mast cell burden which correlates with disease severity, although it should not be used as the sole predictor of disease control. Rather, tryptase should be used in conjunction with other laboratory and histopathological findings for comprehensive monitoring of ASM.
Ethical consideration
Ethical approval by our ethics committee was not necessary or required due to the de-identified and retrospective nature of the data included in our case report.
Consent
Written informed consent was obtained from the patient’s guardians for the publication of this article, including images and clinical details.
Acknowledgements
We thank Dr. Melody Carter for her contribution to patient management. We thank Dr. Kristian Schafernak for generously providing histological photographs for use in our case report.
Funding
No funding sources to declare.
Conflicts of interest statement
The authors declare they have no conflicts of interest.
Author’s contributions
IK, KS, and SW made the diagnosis and wrote the paper; IK, KS, SW, MV and CB reviewed and revised the manuscript. All authors read and approved the final manuscript.
History
Received: July 7, 2025
Published: October 23, 2025
Figures and tables
FIGURA 1. Skin mastocytoma biopsy at 100x with CD117 (cKIT) stain showing diffuse cytoplasmic immunostaining (bronze color) for anti-CD117 antibodies.
FIGURA 2. Liver core biopsy at 400x with trichrome stain highlighting diffuse areas of stage 4 bridging fibrosis (seen as blue staining of collagen).
FIGURA 3. Serum tryptase value trend over time in a patient with infantile aggressive systemic mastocytosis. Arrows indicate when treatment was initiated in relation to serum tryptase values.
References
- Tiano R, Krase IZ, Sacco K. Updates in diagnosis and management of paediatric mastocyosis. Curr Opin Allergy Immunol 2023;23:158-163. https://doi.org/10.1097/ACI.0000000000000869.
- Swerdlow SH, Campo E, Harris NL, et al.Mastocytosis. WHO classification of tumours of haematopoietic and lymphoid tissues. 4th ed. Lyon: International Agency for Research on Cancer 2008, pp. 54-63.
- Khoury JD, Solary E, Abla O, et al. The 5th edition of the World Health Organization Classification of Haematolymphoid Tumours: Myeloid and Histiocytic/Dendritic Neoplasms. Leukemia. 2022;36:1703-1719. https://doi.org/10.1038/s41375-022-01613-1.
- Voelker D, Bednarski JJ, Nieman E, et al.. Hematopoietic KIT D816Y mutation presenting as in utero aggressive systemic mastocytosis with response to midostaurin. J Allergy Clin Immunol Pract. 2023;11:1323-1325.e1. https://doi.org/10.1016/j.jaip.2022.12.016.
- Rydapt@ [prescribing information]. East Hanover, NJ: Novartis Pharmaceuticals Corp. 2021.
- Pardanani A. Systemic mastocytosis in adults: 2021 Update on diagnosis, risk stratification and management. Am J Hematol. 2021;96:508-525. https://doi.org/10.1002/ajh.26118.
- Liu MM, Kohn LA, Roach GD, et al. Treatment of systemic mastocytosis in an infant with midostaurin. J Allergy Clin Immunol Pract. 2019;7:2929-29. https://doi.org/10.1016/j.jaip.2019.05.032.
- Gotlib J, Kluin-Nelemans HC, George TI, et al. Efficacy and safety of midostaurin in advanced systemic mastocytosis. N Engl J Med. 2016;374:2530-2541. https://doi.org/10.1056/NEJMoa1513098.
- DeAngelo DJ, George TI, Linder A, et al. Efficacy and safety of midostaurin in patients with advanced systemic mastocytosis: 10-year median follow-up of a phase II trial. Leukemia 2018;32:470-478. https://doi.org/10.1038/leu.2017.234. Epub 2017 Jul 24. PMID: 28744009.
Downloads
License
This work is licensed under a Creative Commons Attribution-NonCommercial-NoDerivatives 4.0 International License.
Copyright
Copyright (c) 2025 Italian Journal of Pediatric Allergy and Immunology
How to Cite
- Abstract viewed - 526 times
- pdf downloaded - 34 times
